Вне всяких сомнений, навигационные средства повышают точность, предсказуемость и безопасность хирургических вмешательств. Следует помнить, что для изготовления качественного хирургического шаблона нужно убедиться в адекватной припасовке и правильной форме рентгеноконтрастного шаблона.
 






Диагностике.
 Диагностическое восковое моделирование должно быть направлено на восстановление замещаемого зуба. Затем восковую модель дублируют в гипсе и по гипсовому дубликату изготавливают прозрачный шаблон из термопластичной пластмассовой (поливинилхорид) пластинки толщиной 1 мм. После этого в шаблон устанавливают акриловый зуб, изготовленный с помощью восковой модели.
 
На всем протяжении рентгеноконтрастного шаблона прикрепили гуттаперчевые метки диаметром 1 мм. Эти ориентиры необходимы для сопоставления сканированных изображений тканей пациента и рентгеноконтрастного шаблона в программе NobelGuide. Предварительно следует убедиться в правильной адаптации шаблона в полости рта пациента.
 Затем проводят компьютерную томографию головы пациента с установленным в его полости рта шаблоном, после чего шаблон сканируют отдельно. Полученную информацию обрабатывают с помощью программного обеспечения NobelGuide, которое позволяет запланировать трехмерное позиционирование имплантата в оптимальном положении.
 Кроме того, уже на этом этапе стоматолог может выбрать не только имплантат, но и заранее подобрать требуемый абатмент, что делает программу незаменимой в современной стоматологической практике. В данном случае предпочтительнее было бы установить имплантат NobelActive 3.0, но он еще не производился на момент проведения лечения, поэтому установили имплантат NobelReplace Groovy NP, который предпочли имплантату NobelActive NP из-за меньшего диаметра апекса первого.
 Адаптация шаблона
 
Готовый хирургический шаблон передают стоматологу. Шаблон со встроенной в него направляющей втулкой устанавливают на рабочей модели и проверяют возможность точного позиционирования планируемого имплантата, установив соответствующий аналог на модели.
 Затем проверяют направление оси и каналов внутреннего соединения аналога, что имеет большое значение. Один из каналов должен быть направлен строго вестибулярно, поскольку это облегчает проведение последующих ортопедических манипуляций и позволяет сразу же установить оксидциркониевый абатмент.
 


Изготовление абеттмена
 
Временному пластиковому абатменту с помощью композита придают требуемую форму в соответствии с контурами временной коронки и диагностической восковой модели. После этого по дубликату диагностической восковой модели изготавливают поливи-нилсилоксановые шаблоны для проверки заготовки абатмента, которую затем сканируют для фрезерования точной копии из оксида циркония. Перед установкой оксидциркониевого абатмента его дезинфицируют в течение 5 минут в растворе 2% глкзтаральдегида.
 
Направленное моделирование мягких тканей.
 Помимо установки имплантатов точно в заданном положении, хирургический шаблон NobelGuide позволяет прогнозируемо моделировать контур мягких тканей в участке адентии. Учитывая известную локализацию и наклон имплантата, под контролем шаблона проводят циркулярный разрез на глубину 1 мм для отслаивания расщепленного лоскута. После этого микрохирургическим лезвием выполняют тоннельный разрез с нёбной стороны участка адентии, чтобы повернуть корональную часть лоскута. Такой подход позволяет снизить травма-тичность имплантации и улучшить контур прилегающей десны. Во время установки имплантата лоскут на питающей ножке обычно отводят и фиксируют швом во избежание его повреждения.
 
Хирургическая навигация при установке имплантата.
 При необходимости хирургический шаблон можно усилить с помощью акриловой пластмассы. На прицельных рентгенограммах представлена последовательность формирования ложа для имплантата точно в заданном положении. Черная линия на шаблоне соответствует направлению одного из трех каналов внутреннего соединения имплантата. Как отмечалось выше, глубина погружения ортопедической платформы имеет очень большое значение для эстетического результата имплантологического лечения. В большинстве случаев платформа должна находиться на 3 мм апикальнее предполагаемого I края десны. В данной ситуации отмечается правильная ориентация со- * единения и оптимальная глубина расположения платформы имплан- 1 тата.
 
Установка абатмента и пересадка СТТ

После установки имплантата с вестибулярной стороны создали тоннельное ложе, которое распространялось на прилегающие интерпроксимальные участки. В подготовленное ложе поместили СТТ, полученный в области бугра верхней челюсти, для увеличения толщины вестибулярной десны. Внутридесневую часть оксидциркониевого абатмента сошлифовали, чтобы создать большее пространство для СТТ и, значит, более значительного увеличения толщины мягких тканей.
После фиксации трансплантата фиксировали абат-мент. Затем перебазировали временную коронку.
и фиксировали ее с помощью временного цемента (TempBond, Kerr).




Заживление мягких тканей.
 На слайдах продемонстрировано заживление после установки имплантата, фиксации оксид-циркониевого абатмента, цементирования временной коронки и пересадки СТТ. Отмечается гармоничное сочетание временной коронки, прилегающих зубов и мягких тканей.
 


Адаптация коронки.
 Коронка с каркасом из оксида алюминия точно соответствует симметричной коронке правого центрального резца.
 






Окончательный результат.
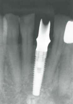
 Клиническая и рентгенологическая картина через 1 год и 3 года после заллещения левого центрального резца нижней челюсти с поллощью цельнокераллической коронки с опорой на иллплантат NobelReplace Groovy 3,5 х 13 ллм.
 


