Цветовосприятие можно оценить с помощью цветовых таблиц Ишихара (Ishihara) (рис. 6-22а и 6-22Ь), теста цветовой последовательности Фарнсворта (Farnsworth) и аномалоскопа Найджела (Nagel Anomaloscope). Все три способа достаточно эффек-
Эффективное решение: Систематизированное определение цвета

Рис. 6-21. Вероятность правильного определения цвета зубов (схема заимствована из работы Henning)

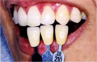
Рис. 6-20. Определение цвета зубов
Рис. 6-22а (слева). Схема тестирования цветовосприятия по Ишихару


Рис. 6-22Ь (справа). Другая схема проверки цветовосприятия по Ишихару

Рис. 6-23. Определение цвета зубов у окна, выходящего на север
тивны, однако использование аномалоскопа позволяет получить наиболее надежные результаты.
Обнаружение нарушения цветовосприятия у стоматолога и зубного техника не означает автоматического несоответствия профессиональной деятельности или занимаемой должности. Однако знание о подобном ограничении позволяет в определенных ситуациях прибегать к помощи сотрудников, коллег или использовать специальные инструменты и методы.
Стабильное освещение.
Для правильного определения оттенков идеально рассеянное дневное освещение в период от 10 утра до полудня у северного окна при наличии белых перистых облаков (рис. 6-23). Таким образом, до 10 часов утра цвета приобретают голубоватый оттенок, а позже полудня - красноватый. Оттенок никогда нельзя определять под прямыми солнечными лучами, или при значительной облачности, или в темное время суток.
Поскольку определение цвета при естественном освещении зависит от многих факторов, предпочтительнее использование специальных флуоресцентных источников освещения, обеспечивающих стабильные условия. Операционный свет стоматологического кабинета подходит только при возможности уменьшения яркости в соответствии с дневным светом. Все источники света в стоматологической клинике и зуботехнической лаборатории необходимо проверить с помощью цветовой карты Кодак (рис. 6-24а и 6-24Ь). При искусственом освещении можно увидеть вертикальные полосы на цветовой карте, которые не видны при естественном свете.
Другими словами, источники света в клинике и лаборатории должны обеспечивать постоянное и стандартизованное освещение для правильного определения оттенка. Идеальные физические условия для этого предполагают освещенность в пределах 5000-5500 лк. Ширина полосы по немецким стандартам составляет DIN 67505. Производители стоматологического оборудования предлагают оборудование, соответствующее необходимым требованиям. Одним из таких примеров является лампа Уолдманна (Waldmann) для подбора цвета. Данное устройство включает в себя зеркало для пациента и увеличительное стекло для стоматолога. Лупы с подсветкой для зуботехнических лабораторий также позволяют создать оптимальные условия. Кроме того, можно использовать зеркала с подсветкой, которые применяются для наложения макияжа.
Относительное цветовое восприятие.
Человеческий глаз не в состоянии отличить один оттенок от другого при их наложении. Это аналогично музыке - только тренированное ухо может различить отдельные ноты при ударе по нескольким клавишам одновременно. Однако зрение подвержено оптическим иллюзиям. Таким образом, исключительно важно, чтобы при определении цвета зубов рядом с пациентом (или на нем) не было никаких ярких предметов. Яркая губная помада (рис. 6-25), броский макияж или одежда (рис. 6-26а), красочное окружение (обои, картины, растения и т.д.) мешают точному определению цвета. Если на пациенте яркая одежда, рекомендуется использовать накидку или салфетку нейтрального цвета, таким же нейтральным должен быть фон позади пациента (рис. 6-26Ь и 6-2 6с).

Рис. 6-24a. Карта тестирования цветовосприятия при естественном дневном и искусственном свете. Полосы становятся видны при искусственном свете

Рис. 6-25. Точное определение цвета затруднено при наличии слишком яркой губной помады
По данным Henning,
9
человеческий глаз устает при взгляде на одну точку уже через 5-7 с. Утомляемость приводит к изменению цветовосприятия, нормализовать которое можно посмотрев на белый или светлосерый объект (но не на голубой, как часто рекомендуется!). В таком случае происходит нейтрализация зрения, тот же эффект используется при определении баланса белого в фотокамерах. После этого снова можно приступать к определению цвета.
Цветовые системы.
Обычно для определения цвета используют классическую цветовую шкалу Вита Классик (Вита; Vita Classic, Vita) (рис. 6-27) и шкалу Хромаскоп (Ивокляр Вивадент; Chromascop, Ivoclar Vivadent) (рис. 6-28).
Цветовая шкала Вита Классик в настоящее время является всемирно признанным стандатом для опре-

Рис. 6-24b. Полосы не видны при естественном дневном или близком к нему искусственном свете
Рис. 6-26Ь. Пациентка в серой накидке


Рис. 6-26с. Пациентка в защитной салфетке
Рис. 6-26а. Пациентка в яркой блузке

Рис. 6-27. Шкала Вита Классик для определения цвета зубов

Рис. 6-28. Система определения цвета зубов Хромаскоп

Рис. 6-30. Система определения цвета зубов Вита ЗД-Мастер

Рис. 6-29. Система определения цвета зубов Биодент

Рис. 6-31. Система определения цвета десны ГАМИ

Рис. 6-32. Система определения цвета ШейдАй NCC
деления цвета зубов. Большинство производителей всего мира классифицируют цвет своих материалов в соответствии с этой шкалой. Некогда распространенная система Биодент (Biodent) (рис. 6-29) в настоящее время почти не используется. Существует большое количество других систем, применение которых ограничено материалами только одного производителя. Популярность цветовых шкал непосредственно зависит от возможности их использования с материалами разных производителей.
Основная проблема заключается в отсутствии стандартизованных систем определения цвета. Например, новая система цветоопределения может быть очень удобной, но бесполезной, если стоматолог или зубной техник не собирается использовать новый материал. Таким образом, целесообразно принятие производителями общего цветового стандарта.
Цветовые шкалы Вита Классик и Хромаскоп имеют схожую структуру. Образцы в них сгруппированы в соответствии с доминирующим цветом: белым, желтым, красно-коричневым, коричневым и серым.
Система ЗД-Мастер (Вита; 3D-Master) (рис. 6-30) использует более надежный с точки зрения физики и оптики способ: сначала определяется яркость, затем интенсивность, а уже потом оттенок (в зависимости от превалирования желтого или красного). Однако данная система логичной последовательности анализа цвета по трем параметрам пока предназначена только для использования с продуктами компании Вита, а значит, распространение ее ограничено.
Дальнейшее усовершенствование коснулось способности определения цвета десны, что способствует получению оптимального эстетического результата реставраций (рис. 6-31). Такой системой является ГАМИ (Шофу; GUMY, Shofu), которая может комбинироваться с другими системами для определения цвета. К относительно новым системам относятся:
1.
Сканеры цвета, например, ШейдАй NCC (ShadeEye NCC) (рис. 6-32). После сканирования поверхности зуба проводится анализ цвета с помощью специального программного обеспечения. Данный аппарат относительно дорог и привязан к определенным системам, что затрудняет его использование. Еще одним примером подобных аппаратов является система Сигма (Sigma).
2.
Система цифрового определения цвета Икам (Ikam) предназначена для компьютерного анализа цифровых фотографий.
В настоящее время электронные системы определения цвета зубов только завоевывают свое место в стоматологической практике.

Рис. 6-33а. Первый этап определения цвета зубов на расстоянии

Рис. 6-ЗЗЬ. Определение интенсивности оттенка в пределах одной цветовой группы
Процедура определения цвета.
Системы Вита Классик (Vita Classic) и Хромаскоп (Chromascop).
Ниже описан протокол определения оттенка и интенсивности цвета с помощью цветовых шкал Вита Классик и Хромаскоп.
10
Цвет зуба необходимо определять до начала терапии, поскольку естественные ткани зуба высыхают в ходе лечения (особенно при использовании коффердама), что делает их более яркими (до двух оттенков), чем они есть в реальности. Цвет должен определять специалист (стоматолог или зубной техник), изготавливающий реставрацию.
При определении цвета специалист должен находиться на расстоянии 50-70 см от пациента. Свет должен падать сбоку под углом 45°. Сначала определяют группу цвета (белый, желтый и т.д.), для чего

Рис. б-33с. Проверка конкретной пробы цвета
Рис. 6-33d. Нанесение цветовых характеристик в специальную форму.
рекомендуется немного сощуриться - такой прием позволяет воспринять цвет и не концентрироваться на отдельных зубах (рис. 6-33а).
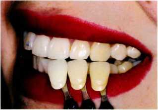
После этого определяют интенсивность цвета в пределах группы зубов (рис. 6-ЗЗЬ). Затем из шкалы достают соответствующий образец и проверяют точность выбора вблизи почти сухого зуба, слегка смоченного слюной (рис. 6-33с).
В ходе всей процедуры определения цвета время от времени следует смотреть на светло-серую поверхность в течение 10 с для обеспечения отдыха для глаз и «освежения» цветовосприятия.
В последнюю очередь анализируют и документируют характеристики зубов (слои, прозрачность, опалесценцию, форму и текстуру) (рис. 6-33d).
Система ЗД-Мастер.
Для определения насыщенности, яркости и оттенка с помощью системы ЗД-Мастер используют описанный

Рис. 6-33f. Система определения цвета зубов Вита ЗДМастер. Выбор оттенка (в данном случае L, М и R, красновато-желтоватый)

Рис. б-33е. Система определения цвета зубов Вита ЗДМастер. Определение насыщенности цвета


Рис. 6-33д. Система определения цвета зубов Вита ЗДМастер. Определение интенсивности света
ниже протокол. Процедуру так же выполняют до начала лечения, кроме того, и в этом случае цвет определяет специалист, изготавливающий реставрацию.

Рис. 6-33j. Проверка оттенков «край в край»
Рис. 6-33i. Различные оттенки верхних передних зубов

Рис. 6-ЗЗИ. Фотографирование поверхностей зуба в одной плоскости


Рис. 6-34. Система определения цвета зубов Вита Классик в соответствии с яркостью цвета (традиционная расстановка представлена на рис. 6-27)
При определении цвета специалист должен находиться на расстоянии 50-70 см от пациента. Свет должен падать сбоку под углом 45°. Сначала определяют яркость, для чего рекомендуется немного сощуриться, чтобы воспринимать цвет и не концентрироваться на отдельных зубах (см. рис. 6-33а).
Степень яркости выбирают в соответствии с пятью уровнями (рис. 6-33е). Потом определяют оттенок (рис. 6-33f). На следующем этапе анализируют интенсивность цвета (бледный и насыщенный) по группам 1; 1,5; 2; 2,5 и 3 (рис. 6-33д).
Из набора подбирают образец и поворачивают его так, чтобы сопоставить с зубом «край в край». Это позволяет расположить образец в одной оптической плоскости с зубом (рис. 6-ЗЗИ).
В ходе всей процедуры определения цвета время от времени следует смотреть на светло-серую поверхность в течение 10 с для обеспечения отдыха для глаз и «освежения» цветовосприятия.
Оттенок передних зубов почти всегда отличается от боковых в сторону более теплых оттенков. Например, при наличии резцов оттенка А2 клыки обычно имеют оттенок A3,5 (рис. 6-33i).
В последнюю очередь определяют и документируют характеристики зуба (текстуру, форму, прозрачность, опалесценцию, слои и индивидуальные особенности), который слегка смачивают слюной. Образец также смачивают. Затем снова сравнивают образец, но на этот раз с сухим зубом.
Вне зависимости от используемой системы определения цвета зубов необходимо обязательно сделать фотографию зубов вместе с образцом для передачи зубному технику (рис. 6-33j). Для аналоговых фотографий автор рекомендует применять пленку Кодак Эктахром ЕРР 100 или EPN100 (Kodak Ektachrome).
Совет.
Образцы в шкале системы Вита Классик можно расположить так, чтобы оценивать цвет по яркости, оттенкам и интенсивности. В соответствии с данными Henning,
10
образцы цвета в зависимости от яркости распределяются в следующем порядке: В1, А1, В2, А2, С1, A3, ВЗ, D2, D3, D4, A3,5, С2, СЗ, А4 и С4 (рис. 6-34).
Материалы.
Цветовые шкалы Вита Классик (Vita Classic) и Вита ЗД-Мастер (Vita 3D-Master) компании Вита (Vita). Система определения цвета Хромаскоп (Ивокляр Вивадент; Chromascop, Ivodar Vivadent). Система определения цвета Кодак (Kodak Color Viewing Light Selector).
Системы освещения (например, Уолдманн; Waldmann).
Тест для определения дефекта цветовосприятия Ишихара (Ishihara Test for Color Deficiency). Тест Фамсворта (Famsworth Test), аномалоскоп (Anomaloscope) (полную информацию можно получить у д-ра Gerd Henning, Ларрах, Германия). Система определения цвета десны ГАМ И (Шофу; GUMY, Shofu).
Цветовой сканнер ШейдАй NCC (Шофу; ShadeEye NCC).
Цифровая система определения цвета Сигма (Металор; Sigma systemlkam digital shade system, Metalor). Пленка Эктахром (Кодак; Kodak Ektachrome films).