

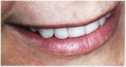
Рис. 2.63, 2.64. Исходная клиническая ситуация. Улыбка при стертом режущем крае центральных резцов и незначительном доминировании этих зубов в зубном ряду доставляла неудобства пациентке, потому что была невыразительна и придавала ей «застенчивый» вид

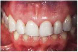
Рис. 2.65, 2.66. Вид зубных рядов. Неадекватная высота по отношению к ширине центральных резцов придает им уплощенный вид. Новое положение зубов (от верхнего правого клыка до верхнего левого клыка) будет смоделировано, чтобы восстановить правильную пропорцию и увеличить резцовое перекрытие, увеличив объем и длину зубов, с помощью керамических виниров

Рис. 2.69, 2.70. Вид снаружи и изнутри керамических виниров (IPS Empress 2. Ivoclor Vivadent)

Рис. 2.67. Нёбный силиконовый шаблон, сделанный по модели с предварительно смоделированной формой зубов. Наложение ключа показывает необходимость значительного увеличения высоты зубов, особенно резцов, чтобы восстановить эстетику и усилить доминирование центральных резцов.
Рис. 2.68. Финишное препарирование зубов под контролем силиконового ключа. Обратите внимание на объем пространа ва, необходимого для керамической реставрации в ме-зиодистальных областях и у режущего края

Рис. 2.71. Отпрепарированные зубы очищены (щеткой с пемзой и водой) и изолированы перед фиксацией керамических виниров. Обратите внимание на закругленные углы и края, которые формируются во избежание возникновения точек внутреннего напряжения в керамике

Рис. 2.72, 2.73. Адгезивная фиксация. Кислотное травление поверхности зуба 37% фосфорной кислотой в течение 15 с

Рис. 2.74. Нанесение адгезива (IPS Empress 2, Ivoclar Vivadent] с последующим аккуратным просушиванием воздухом.
Рис. 2.75. Точное наложение керамического винира. Излишки композитного цемента должны выдавливаться по всему контуру реставрации. чтобы избежать появления зазоров по крае реставрации
Рис. 2.79, 2.80. Клиническая картина после лечения Обратите внимание на коррекцию пропорции центральных резцов и гармоничное расположение зубов; улыбка больше соответствует выразительности лица. [Зубной техник Жозе Карлос Романини, Лондрина, Бразилия.)

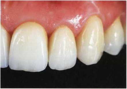
Рис. 2.76, 2.77, 2.78. Керамическая реставрация (спустя 60 дней с момента фиксации). Обратите внимание на выраженное доминирование центральных резцов, что создает ощущение единства зубного ряда




Во фронтальном отделе расположение контактных пунктов непосредственно связано с формой и наклоном оси зуба. Их положение изменяется от режущего края к шейке и от центрального резца к клыку (рис. 2.81 и 2.82).
В оптимальной эстетической композиции воображаемая линия, проведенная по контактным пунктам, параллельна горизонтальным линиям лица, что усиливает впечатление целостности.

Рис. 2.81, 2.82. Контактные пункты во фронтальном отделе обычно располагают от режущего края к пришеечной области и от центральных резцов к клыкам. Их расположение определяет размер межзубного треугольника в пришеечной области и у режущих краев