
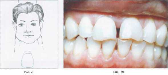
К третьему типу относятся зубы, внешние контуры которых имеют овальную форму. Контактные поверхности двояковыпуклы, а все поверхности более закруглены и изящны (рис. 78, 79).

Известно о существовании определенной зависимости между формой зубов и типом лица. Выделяют три типа лица: квадратное, коническое и овальное. Очертания лица характеризуются наклоном линий щек между скуловой костью и углом челюсти.
При параллельности линий щек говорят о квадратном лице, при их сужении книзу — о продолговатом (коническом) лице, если же линии щек расходятся книзу, то лицо называют овальным. В природе отмечается своеобразная гармония между формой зубов и типом лица.
Людям с квадратным типом лица соответствуют зубы первого типа.
Для конического типа лица характерны зубы второго типа, у которых контактные поверхности имеют направление, противоположное линиям щек лица.
При овальной форме лица чаще всего пациенты имеют зубы, характерные для третьего типа. Объективной морфологической оценке должны быть подвергнуты коронки отдельных зубов, а также весь зубной ряд в целом.
Каждый зуб должен быть оценен с точки зрения его размера, формы, цвета коронки, степени разрушенности твердых тканей. В норме зубы соответствуют средним размерам их групповой принадлежности (рис. 80).

Осмотр зубных рядов начинают с верхнего правого третьего моляра, осматривая каждый зуб со всех сторон, затем переходят на нижний зубной ряд слева направо, заканчивая нижним правым третьим моляром.
Соответственно этому принципу осмотра создана международная двузначная система, которой мы будем пользоваться в дальнейшем.
В ней каждый зуб обозначается двумя цифрами: первая — номер квадранта, вторая — порядковый номер зуба в квадранте. постоянные зубы 18 17 16 15 14 13 12 11 2122 23 24 25 26 27 28 48 47 46 45 4 4 43 42 41 31 32 33 34 35 36 37 38 временные зубы 55 54 53 52 51 6162 63 64 65 85 84 83 82 81 71 72 73 74 75
Для создания правильной конфигурации зубов, зубного ряда врачам-реставраторам необходимы подробные сведения о морфологических параметрах коронок зубов, знания их формы, одонтоглифики и других особенностях строения.
Неправильное моделирование формы зуба приводит к нарушению его функции, в результате чего меняется функция как зубного ряда, так и всей зубочелюстной системы в целом.
В настоящее время расширяются возможности и подходы к моделированию твердых тканей зубов. Объем мероприятий уже не ограничивается восстановлением какого-либо одного зуба как функциональной единицы, а при необходимости (истирание эмали, травмы, наличие трем, диастем) возмещаются целые группы зубов.
Именно здесь необходимы знания о высоте, мезиодистальных, вестибулолингвальных размерах коронок зубов, их интегральных показателей (модуль, индекс, массивность). Для объективной морфологической оценки состояния коронок зубов врачу-реставратору необходимо пользоваться одонтометрией.
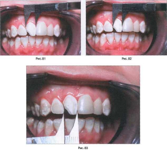
Существует несколько методик проведения одонтометрических измерений. Если объем предстоящих реставрационных работ незначительный, то можно произвести измерения непосредственно в полости рта при приеме пациента в стоматологическом кресле (рис. 81-83).

Если реставрации подвергается группа зубов и отсутствует информация о морфологических параметрах зубочелюстной системы, то более правильным, на наш взгляд, считается снятие анатомических слепков, изготовление диагностических моделей с применением супергипса и проведение замеров на моделях.
Морфометрия зубов производится с применением штангенциркуля с заостренными ножками (точность измерения до 0,1 мм).
При исполнении реставрационных работ коронку зуба характеризуют наиболее информативные одонтометрические показатели, такие как высота коронки (Н cor), мезиодистальный размер коронки (MD cor), вестибулолингвальный размер коронки (VL cor).
МОРФОМЕТРИЯ ВЫСОТЫ КОРОНОК ЗУБОВ
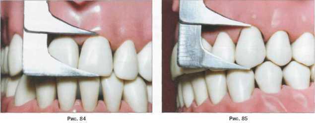
Высотой коронок в группе резцов как верхних, так и нижней челюстей является расстояние от средней точки режущего края до маргинального уровня десны по вертикальной линии на вестибулярной поверхности (рис. 84).
Высотой коронок как верхних, так и нижних клыков является расстояние от вершины рвущего бугра до маргинального уровня десны по вестибулярной поверхности (рис. 85).

Высотой коронок группы премоляров является расстояние от вершины щечного бугра до маргинального уровня десны по вестибулярной поверхности (рис. 86).
Высотой коронок в области моляров является расстояние от наиболее глубокорасположенной точки в фиссуре между передним и задним щечными буграми до маргинального уровня десны по вестибулярной поверхности (рис. 87).

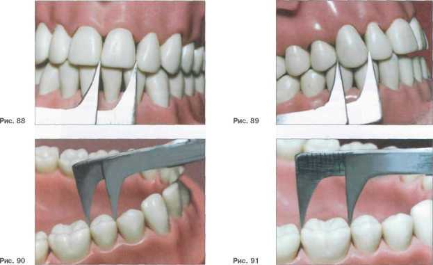
МЕЗИОДИСТАЛЬНЫЙ РАЗМЕР КОРОНОК ЗУБОВ
В основе измерения данной величины лежит принцип горизонтального определения мезиодистального параметра коронки зуба. Наибольший диаметр находится в окклюзионной или средней трети высоты коронки по точкам, наиболее отдаленным друг от друга.
Для группы верхних резцов выступающие точки медиального и дистального краев коронки располагаются близко к режущему краю.
Однако при овоидной форме резцов эти точки располагаются по горизонтальной линии на уровне средней трети ее высоты.
Измерения проводят по вестибулярной поверхности (рис. 88). Более сложным является определение мезиодистального параметра группы клыков. Известно, что клыки имеют достаточно многогранную форму, где углы коронки располагаются на разных уровнях, особенно это касается верхнего клыка.
В связи с этим при измерении мезиодистального параметра ножки одонтометра устанавливаются в наиболее выступающие углы коронки, параллельно выступающей оси зуба (рис. 89).
В группе премоляров, как верхних, так и нижних, наибольший мезиодистальный размер располагается в области углов коронки по вестибулярной поверхности (рис. 90).
В группе моляров все измерения проводятся при вертикальном положении одонтометра в окклюзионной трети коронки.
Мезиодистальные параметры моляров верхней и нижней челюстей определяются по контактным (апроксимальным) точкам в нормальном положении зуба, в оклюзионной трети коронки, являясь как бы наибольшей продольной величиной (рис. 91).

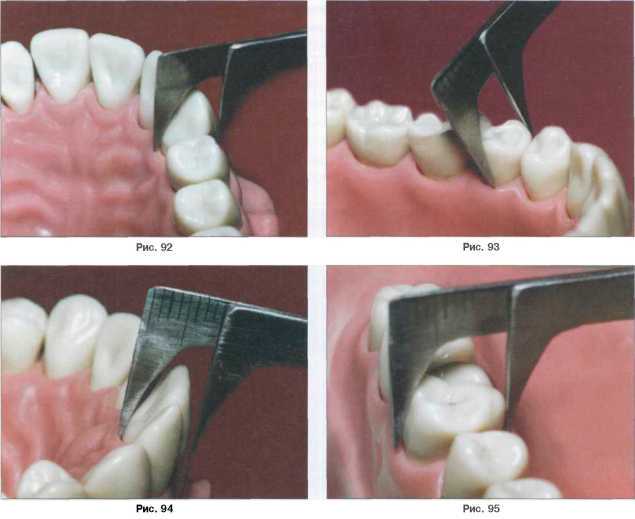
ВЕСТИБУЛОЛИНГВАЛЬНЫЙ РАЗМЕР КОРОНОК ЗУБОВ
При измерении вестибулолингвального размера коронок фронтальной группы зубов (резцы, клыки), а также премоляров верхней и нижней челюстей одонтометр устанавливается в вертикальное положение, с охватом наиболее выступающих точек вестибулярной и лингвальной поверхностей (рис. 92-94).
При измерении вестибулолингвального размера коронок верхних моляров положение одонтометра вертикальное, захвачены наиболее выступающие поверхности в области переднего щечного и переднего небного бугров (рис. 95).
На нижних молярах измерение вестибулолингвальных диаметров производится дважды: между наиболее выступающими точками переднего щечного и переднего язычного бугров, а также между наиболее выступающими точками заднего щечного и заднего язычного бугров. Наибольший по величине показатель является вестибулолингвальным параметром коронки (рис. 96).

Описанные выше морфологические параметры, такие, как высота коронки, ее мезиодистальный и вестибулолингвальный размеры, являются определяющими величинами, истинными.
Они применяются также для расчета интегральных характеристик размеров зубов. Такие показатели как модуль, массивность, индекс коронки имеют важное значение при исполнении реставрационных работ.
Эти размеры также необходимо учитывать, особенно при сложном моделировании в области боковых групп зубов, так как данные величины характеризуют площадь, объемы, конфигурации коронок.


В центре рисунка 97 показана морфологическая норма коронки 36 зуба (правильное соот ношение мезиодистальных и вестибулолингвальных размеров).
По периметру рисунка демонстрируются разные варианты с дисгармонией размеров коронки первого моляра. Нарушение пропорций между длиной и толщиной коронки зуба приводит к нарушению ее конфигурации, а соответственно этому существенно изменяются такие показатели, как индекс, массивность и модуль коронки зуба.
При дисгармоничном морфологическом состоянии сразу нарушается функциональная ценность зуба, совершенно иным способом распределяется нагрузка на его коронку, идет неравномерное давление на подлежащие ткани и меняется состояние периапикальных структур, пародонта и т. д.
Таким образом, неправильное моделирование даже в пределах одного зуба приводит всю зубочелюстную систему к дисгармоничному состоянию, дисфункции.
|
| Рис. 97. Демонстрирует, как меняется форма коронки нижнего моляра при несоблюдении основных морфологических пропорций. Известно, что изменение формы коронки даже одного зуба приводит к нарушению функционального состояния как зуба, так и всей зубочелюстной системы. Это важно помнить при восстановлении формы зубов, зубных рядов |
Известно, что форма зуба содержит в себе достаточное количество информации. В норме форма коронки соответствует групповой принадлежности.
Эмаль гладкая, без трещин и других деформаций. Опытный одонтолог, оценивая конфигурацию твердых тканей коронок, может предположить состояние здоровья пациента в период развития и формирования молочных и постоянных зубов.
Такие заболевания, как гипоплазия, флюороз, гиперплазия зубов, нарушают структуру эмали, при этом изменяется форма коронок (рис. 98-106).
| Данные одонтометрии кариесрезистентных лиц по исследованиям Ломиашвили Л.М. (1993 г). | |||||||||||||||||||||||||||||||||||||||||||||||||||||||||||||||||||||||||||||||||||||||||||||||||||||||||||||||||||||||
|
|||||||||||||||||||||||||||||||||||||||||||||||||||||||||||||||||||||||||||||||||||||||||||||||||||||||||||||||||||||||

Аномалии формы возникают в связи с рядом врожденных хронических заболеваний (зубы Гетчинсона, резцы Фурнье, моляры Пфлюгера), а также при сочетанных нарушениях амелогенеза, дентиногенеза (синдром Стентона-Капдепона) (рис. 107-111).

Аномалия формы определяется также в связи с редукцией жевательного аппарата в результате филогенетического развития (рис. 112, 113).

При отклонении в развитии зубных зачатков в период эмбрио-, гистогенеза отмечается макродентия зубов (рис. 114, 115).

Форма может быть изменена из-за травмы (рис. 116, 117), наличия трещин, повышенной стираемости эмали (рис. 118, 119).

Часто форма зубов отражает и общее состояние резистентности организма, наличие заболеваний внутренних органов, активность течения кариозного процесса, текстурные особенности эмали, дентина, устойчивость твердых тканей к истиранию (рис. 120-123).
Врачу-реставратору при проведении осмотра необходимо также обратить внимание на рельеф поверхностей зубов (одонтоглифику).
Наш глаз со временем начинает распознавать более мелкие детали, как бы разграничивая единую поверхность на подповерхности, отмечая при этом разнообразное множество гребней, бугорков, впадин, отверстий, борозд и т.д.
Каждая из морфологических единиц имеет свои очертания, свою направленность, продольные и поперечные оси.

Особенности микрорельефа поверхностей необходимо учитывать при восстановлении формы коронок зубов (рис. 124-126).

При проведении осмотра необходимо также обращать внимание на степень дифференциации поверхности, на выраженность определенных морфологических зон элементов, характерных именно для данного зуба, либо отдельно взятой его поверхности.
Своеобразные конституциональные особенности зубов, микрорельеф поверхностей несут в себе много тайн и загадок.
Так, например, существует достаточное разнообразие форм группы верхних резцов с различной степенью дифференциации поверхностей. Зубов А.А. выделяет 4 формы небной поверхности резцов верхней челюсти.
1. Язычная поверхность резцов плоская или равномерно вогнута, краевые гребешки не выражены (рис. 127).
2. Краевые гребешки слабо выражены и не доходят до окклюзионной трети коронки (рис. 128).
3. Краевые гребешки хорошо выражены с обеих сторон и по всей высоте коронки зуба (рис. 129).
4. Краевые гребешки сильно выражены и между ними имеется углубление язычной поверхности (форма совковой лопаты) (рис. 130, 131).

Наблюдения показывают, что разнообразием морфологии в пределах одного зуба природа ограничивается редко.
При обследовании зубов таких пациентов на многих участках зубного ряда отмечались четко выраженные поверхности с причудливыми формами (рис. 132, 133).

И наоборот, встречаются типы коронок зубов с плоскими гранями, сглаженными углами и поверхностями, без резких переходов с правильными очертаниями (рис. 134).
Опытный одонтолог, оценивая поверхности зубов, может определить примерный возраст пациента, принадлежность к этнической группе, предположить его место жительства, проживание в эндемических зонах.
Также можно сделать выводы о вредных привычках пациента, о произошедших травмах зубов, профессиональных вредностях и т. д.
Осматривая коронки отдельностоящих зубов, необходимо различать дистопию, осевые повороты, а также аномалии их положения.
К аномалиям положения отдельных зубов относятся: изменение отношения коронки к протетической плоскости, дистопия положения, осевые повороты.
Положение, при котором зубы не достигают уровня протетической плоскости, называется супраокклюзией (рис. 135), а если зубы выходят за ее пределы, инфраокклюзией (рис. 136).

Необходимо также различать дистопию (состояние, когда зуб прорезался не на своем месте) (рис. 137, 138).
Данные варианты могут осложнить выполнение реставрационных работ. Важным звеном в системе объективного обследования зубочелюстнои системы является положение продольной оси зуба, а также оси коронки.
В норме зубы располагаются равномерно по ходу гребня альвеолярного отростка, симметрично относительно центральной линии, на верхней


челюсти форма зубного ряда представлена в виде половины эллипса, на нижней — в виде параболы.
При тортоаномалиях наблюдаются повороты зубов вокруг оси в большей (более 90°) или в меньшей (30°— 45°) степени.
Чаще других зубов поворачиваются по оси резцы верхней и нижней челюсти, реже — клыки, премоляры, моляры.
Отклонения зубов отмечаются в вестибулярном, небном и других направлениях, при этом возникают эстетические и функциональные нарушения зубочелюстного аппарата. Рис. 139-142 отображают фронтальный отдел верхней челюсти, направление продольных осей коронок зубов (черная линия).
Разброс осей, даже незначительный поворот вокруг продольной оси коронки значительно изменяет внешний вид зубного ряда.
|
| Рис. 143, 144 отображают, как в пределах одного и того же зубного ряда смотрятся коронки фронтальной группы зубов верхней челюсти при их нормальном положении (правая половина) и при поворотах продольных осей. |

Достаточно часто при клиническом обследовании полости рта пациентов врачу-реставратору приходится встречаться с различным зубоальвеолярным прикреплением коронок зубов по ходу гребня альвеолярного отростка (по горизонтальной плоскости).
Зубоальвеолярные выдвижения чаще всего возникают при патологии прикуса, скученности зубов, тортоаномалиях, травмах, при феномене Попова-Годона.
Нарушение положения зуба в гребне альвеолярного отростка существенно затрудняет моделирование гармоничного зубного ряда, так как габаритное очертание коронки зуба задано его положением, изменить которое практически невозможно консервативным методом.
Чтобы добиться удовлетворительного эстетического результата, необходимо вводить элементы моделирования и варьирования, изменяя форму и микрорельеф коронок зубов. На рис. 145-148 представлено положение коронок зубов в зубном ряду.
Черная линия указывает различную локализацию зубо-альвеолярного прикрепления по горизонтальной плоскости.

Травмы, разрушенность коронок кариозным процессом, образование участков гипоплазии и гиперплазии, возникновение клиновидных дефектов, трещин эмали и повышенная ее истираемость приводят к необратимым процессам, в результате чего образуются дефекты твердых тканей, нарушается конфигурация зубов, нарушаются их функции.
Перечисленные выше факторы влияют не только на изменение формы, но и на цветовую гамму зубов. В норме временные зубы голубовато-белые, а цвет постоянных зубов варьирует: отмечаются белые, бело-желтые, желтые оттенки, а также серые, коричнево-желтые и другие тональности.
Цвет зуба неоднороден в различных коронковых зонах: в области шейки он более темный, насыщенный, а в области режущего края светлее, что связано с различной толщиной и соотношением эмали и дентина, а также наличием пульповой камеры и сосудисто-нервного пучка. Необходимо помнить, что фронтальные зубы светлее, чем боковые (рис. 149).
При гипоплазии и флюорозе отмечается пятнистость, меловая, желто-коричневая пигментация (рис. 150). При травме сосудистонервного пучка коронка сереет, при кровоизлиянии — розовеет. Необратимые изменения цвета происходят в результате лечения зубов препаратами с окрашивающим эффектом (резорцин-формалиновый метод, метод серебрения, неаккуратное применение эндометазона и т.д.) (рис. 151-153).
Присутствие мягких или твердых зубных отложений также меняет цвет нижележащих тканей, что часто дезинформирует врача-рес-

тавратора в оценке истинной окраски зуба, лишает возможности в полной мере визуально охарактеризовать всю цветовую гамму коронок зубов (рис. 154, 155).
Перед реставрацией зубов необходимо методом осмотра и зондирования определить клиническое состояние эмали и дентина.
В норме эмаль и дентин сохранены на всех поверхностях коронок зубов.
Поверхность твердых тканей гладкая, с выраженным блеском, зонд фиксируется в естественных фиссурах и углублениях.
При некариозных поражениях зубов блеск отсутствует, поверхность эмали плотная, шероховатая, бугристая, могут быть углубления, бороздки, повышен-


ное стирание эмали, дентина.
При наличии дефектов кариозного происхождения и эмаль и дентин могут быть разрушены с образованием полости, зонд фиксируется в образующихся дефектах (рис. 156).
Для разумного выбора метода реставрации необходимо максимально учитывать ряд объективных данных пациента.
Особенно важным, на наш взгляд, является определение и оценка вида прикуса, т.е. взаимоотношение между верхними и нижними зубными рядами. В течение жизни прикус не остается постоянным.
При исполнении реставрационных работ особая настороженность требуется при лечении пациентов, имеющих прямой прикус.
При данном виде смыкания зубных рядов режущие края верхних зубов не перекрывают нижних, попадая прямо, подобно щипцам, на их режущие края. Истирание режущих краев передней группы зубов при этом виде прикуса достаточно быстрое (рис. 157).
Учитывая биомеханику зубочелюстного аппарата, реставрацию переднего отдела в прямом прикусе необходимо производить строго по показаниям микронаполненными гибридными композиционными материалами.
Обработка естественных тканей зубов должна быть достаточной для того, чтобы последующий слой композита имел определенную толщину и устойчиво соединялся с тканями зуба. Минимально наложенный материал подвержен истиранию, а корпус конструкции может иметь трещины.
При работе с пациентами, имеющими глубокий прикус необходимо помнить, что он характеризуется глубоким перекрытием верхними передними зубами нижних.
Иногда степень глубины прикуса настолько значительна, что нижние передние зубы касаются слизистой альвеолярного отростка в области верхних резцов с небной стороны (рис. 158, 159). Несмотря на то, что глубокий прикус от-


носится к аномалиям зубных рядов, восстановление коронок зубов переднего отдела челюстей с помощью композиционных материалов несет в себе меньше трудностей, чем восстановление зубов при глубоком резцовом перекрытии.
Существующее свободное пространство заполняется композиционной массой и при последующем функционировании не выбивается зубами-антагонистами. Достаточно сложным при выполнении реставрационных работ является глубокое резцовое перекрытие.
Тесный контакт вестибулярных и режущих поверхностей нижних резцов и клыков с небными поверхностями группы передних верхних зубов приводит к установлению такого вида артикуляции при котором происходит физиологическое стирание.
Наиболее отчетливо оно проявляется на вестибулярных поверхностях нижних резцов. Возможно так же стирание группы моляров и премоляров, что характеризуется уменьшением жевательных бугров и углублением окклюзионных фасеток (рис. 160-162).
При открытом прикусе контактируют между собой чаще всего группы жевательных зубов, коронки же переднего участка разобщены. Опыт работы с пациентами, имеющими данный вид прикуса, показывает, что восстановление коронок зубов в переднем отделе как верхней, так и нижней челюстей не представ-

ляет особых сложностей, так как существующий промежуток можно гармонично перекрыть, соблюдая при этом соразмерность пропорций восстанавливаемых тканей.
Реставрация же жевательного отдела должна производиться достаточно жестконаполненными композиционными материалами, выдерживающими нагрузку на сжатие, растяжение, изгиб и т.д. (рис. 163-165).

Изначально клиницисты-стоматологи должны определиться в тактике ведения пациента, проанализировать биомеханику зубов и челюстей при любом виде прикуса и выбрать способ лечения, вид конструкции, подобрать необходимый материал и т.д.
Например, при прогении нижняя челюсть смещена кпереди по отношению к верхней, нижняя зубная дуга больше верхней зубной дуги, а нижние передние зубы стоят впереди верхних (рис. 166, 167).
Нарушение соотношения окклюзионных контактов, несоответствие бугров и бороздок контактирующих между собой зубов приводит к дисфункции зубочелюстной системы, развитию травматических узлов, а сама реставрация при данных аномалиях прикуса может быть противопоказана.


Особенную настороженность вызывает обширный объем реставрации, когда восстановлению подвергаются несколько зубов в области одной челюсти, но более проблематично, если дефекты располагаются как на верхней, так и на нижней челюсти (рис. 168).
При сложной клинической ситуации необходимо проконсультироваться с врачом-ортопедом и, возможно, предложить пациенту какую-либо ортопедическую конструкцию.
Иногда замещение восстанавливаемых дефектов более целесообразно производить на моделях, непрямым способом, применяя усиленную фотополимеризацию конструкций в лайтбоксах (рис. 172), с использованием достаточно устойчивых материалов последнего поколения, например группы керамеров.
Тогда созданная вами конструкция будет противостоять нагрузкам, связанным с актом жевания, истирания пищи и т.д. (рис. 169-174). Часто на прием к стоматологам обращаются пациенты с большим количеством разру-

шенных зубов либо с их частичным отсутствием.
При этом необходимо выработать последовательность действий при восстановлении функциональной целостности зубочелюстного аппарата.
Не рекомендуется реставрировать фронтальный сектор до тех пор, пока не восстановлены боковые отделы зубных рядов, не фиксирована высота прикуса.
Так как известно, что при потере пациентом значительного количества зубов либо какой-то его части, зубы-антагонисты смещаются, контактные точки изменяются на определенных участках, зубы располагаются веерообразно; все это приводит к снижению высоты прикуса.
Мускулатура и все другие элементы жевательного аппарата перестраиваются, приспосабливаясь к новому положению.
Только восстановив высоту прикуса за счет его нормализации в боковом отделе, можно приступить к косметическим реставрациям передней группы зубов.
Таким образом, сотрудничество между специалистами в области стоматологии прослеживается на всех этапах лечения, начиная с внешнего осмотра пациента, с определения плана лечения, выбора конструкции и заканчивая проведением окончательной пришлифовки и полировки твердых тканей зубов. В этой планомерной последовательности восстановления зубов, зубных рядов есть свои преимущества.
После окончания и сдачи восстановительных работ, выполненных врачом-ортопедом, пациент передается под наблюдение и лечение врачу-реставратору. Воспользовавшись знаниями в области моделирования, а также разнообразной гаммой цветовых оттенков пломбировочных материалов, корректируя при этом форму и объем зуба, можно легко дополнить созданную ранее композицию в боковых секторах и закончить реставрацию всего зубного ряда, учитывая индивидуальные особенности пациента и особенности существующей конструкции.
При оценке клинико-морфологического состояния зубочелюстной системы необходимо также определить уровень резистентности зубов к кариесу по методике Недосеко В.Б. (1987 г.).
Доказано, что при одних и тех же условиях в полости рта интенсивность кариеса, темп прироста кариозных полостей за году каждого человека индивидуальны и зависят от уровня устойчивости зубов к заболеванию.
Уровни резистентности, то есть мера устойчивости зубов к кариесу, согласно гипотезе В.Б. Недосеко, различаются, главным образом, локализацией патологического процесса. Высокий уровень резистентности фиксируется в том случае, если ни один из зубов не вовлечен в кариозный процесс, то есть такие люди кариесрезистентны (рис. 175). При среднем уровне кариозные полости локализуются в боковых секторах зубных дуг (моляры, премоляры) (рис. 176).
Низкий уровень резистентости определяется в тех случаях, когда помимо жевательных зубов кариесом поражены резцы верхних челюстей (рис. 177). При очень низком уровне кариозный процесс распространяется на все группы зубов (рис. 178).

Проведенное нами исследование позволило впервые установить, что каждый уровень резистентности к кариесу имеет свои особенности морфологического строения жевательного аппарата.
Эти особенности заключаются в следующем: при благоприятных уровнях резистентное™ (высокий, средний) коронки зубов имеют меньшие размерные характеристики, чем при неблагоприятных (низкий и очень низкий).
При высоком уровне резистентное™ существует определенная гармония, пропорциональность в распределении зубов в зубном ряду, правильная конфигурация зубной дуги (рис. 179, 180). Начиная со среднего уровня резистентности, определяется несоответствие физиологических пропорций между морфологическими структурами как в сагиттальном, так и трансверзальном направлениях.
Мезиодистальные размеры коронок зубов не укладываются в истинные размеры зубного ряда, нарушается его конфигурация.
При более неблагоприятных уровнях резистентности (низкий и очень низкий) эта дисгармоничность нарастает. Различия в истинных и должных размерах зубов и зубных рядов достигают значительных величин, при этом существенно меняется конфигурация зубного ряда (рис. 181-183).
Таким образом, при проведении реставрационных работ, а именно при планировании объема лечебных вмешательств, методе его проведения, выборе вида адгезивных систем, пломбировоч-

ных масс и т.д. необходимо провести качественную оценку морфо-функционального состояния зубочелюстной системы.
При этом врач-реставратор должен обладать объемнопространственным мышлением, постоянно тренировать свою зрительную память, активно анализировать конструкции форм, развивать чувство пропорции, профессиональной наблюдательности и художественного вкуса.
Данные качества необходимо постоянно совершенствовать при исполнении практической деятельности.



