|
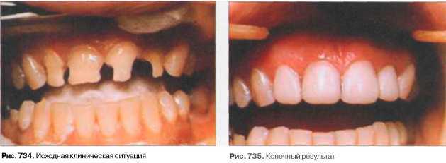
Нами применялись прямые, непрямые и комбинированные методы восстановления твердых тканей зубов, зубных рядов. Прямой метод представляет собой восстановление анатомической формы зуба или замещение дефекта зубного ряда, применяемое непосредственно в полости рта пациента. Метод имеет следующие преимущества: — работа осуществляется в одно посещение; — исключается цепь промежуточных этапов, исполняемых в зубопротезной лаборатории специально подготовленными кадрами; — препарирование твердых тканей зуба щадящее; — зуб как орган остается жизнеспособным, сохраняется сосудисто-нервное волокно; — цвет и форма выполненной конструкции корректируется с учетом индивидуальных особенностей зубного ряда пациента, т.е. гарантируется эстетичность созданной конструкции; — относительно низкая стоимость восстановительного лечения. К недостаткам прямого метода можно отнести следующее: — возможность усадки композиционных масс; — вероятность ошибки при выполнении сложных мануальных действий ("человеческий фактор"); — относительная ограниченность временного промежутка при работе стоматолога с пациентом; — возможное попадание влаги при проведении восстановительных работ. Вашему вниманию предоставляется серия клинических работ, сделанных на кафедре терапевтической стоматологии Омской государственной медицинской академии студентами, ординаторами, профессорско-преподавательским составом. Клинический пример 1 Пациентке 21 год, обратилась в клинику терапевтической стоматологии с жалобами на задержку пищи в межзубном промежутке, воспаление десневого сосочка в области 45, 46, эстетическое несовершенство пломб. При объективном обследовании отмечается на жевательных и контактных поверхностях 45, 46 наличие пломб, не соответсвующих по цвету и форме естественным тканям коронок зубов, их усадка, неправильно сформированный контактный пункт.
Клинический пример 2 Пациентка 35 лет, в течение 15 лет носила одиночные коронки в области 41, 31, 32. После их снятия произведена прямая реставрация материалом "Charisma" фирмы "Heraeus KULZER" с восстановлением элементов микрорельефа.
Клинический пример 3 Пациентке 14 лет; из анамнеза определяется недостаточная функция щитовидной железы, очень низкий уровень резистентноети, КПУ 25. Произведена реставрация 12, 11, 21, 22 материалом "Charisma" фирмы "Heraeus KULZER".
Клинический пример 4 Пациентке 17 лет. Из анамнеза: флюороз меловидно-крапчатая форма, проживание в Мордовской республике до 15 лет. Произведена реставрация фронтальной группы зубов верхней челюсти материалами семейства "Filtek", фирмы "3M-ESPE".
Клинический пример 5 Пациенту 32 года, низкий уровень резистентности, реставрация фронтальной группы зубов верхней челюсти произведена материалами семейства "Filtek", фирмы "3M-ESPE".
Клинический пример 6 Пациентке 39 лет, очень низкий уровень резистентности, КПУ 26, прикус патологический. Произведена реставрация группы премоляров, клыков, резцов, верхней челюсти материалами семейства Filtek, фирмы "3M-ESPE". Клинический пример 7 Пациентке 41 год, очень низкий уровень резистентности зубов к кариесу, КПУ-28. Произведена реставрация группы клыков, резцов верхней и нижней челюстей материалом "Filtek Z-250" фирмы "3M-ESPE".
Клинический пример 8 Пациенту 28 лет, низкий уровень резистентности, произведена реставрация резцов верхней челюсти материалами семейства "Filtek", фирмы "3M-ESPE".
Клинический пример 9 Пациентке 31 год, произведена реставрация фронтальной группы зубов материалом "Esthet-X" фирмы "DentSply".
Клинический пример 10 Пациентке 25 лет, произведена реставрация фронтальной группы зубов верхней челюсти материалом "Charisma" фирмы "Heraeus KULZER".
Клинический пример 11 Пациентке 21 год, произведена реконструкция дистопированного 23 зуба в 22, восстановление 21, 24 материалами семейства "Filtek", фирмы "3M-ESPE". Клинический пример 12 Пациентке 40 лет. Отмечается тортоаномалия фронтальной группы зубов верхней челюсти, палатинальное положение 12. Произведена реконструкция фронтальной группы зубов верхней челюсти материалом "Charisma" фирмы "Heraeus KULZER".
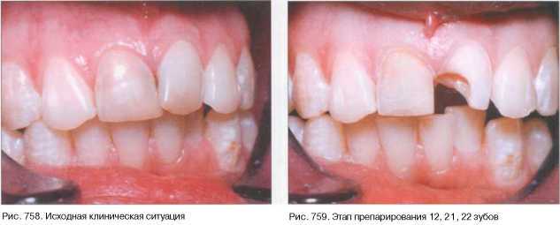
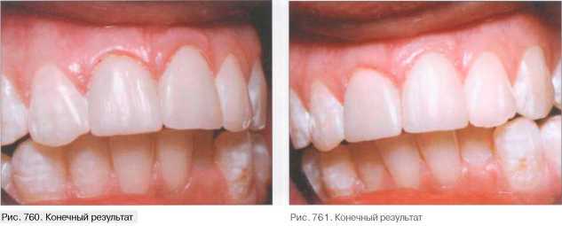
Клинический пример 13 Пациенту 28 лет. Отмечается нарушение формы и цвета 12, 21, 22, скученность зубов. Произведена реконструкция материалом XRV "Herculate" фирмы "Кегг".
Клинический пример 14 Пациентки 38 лет. Отмечается дисколорит группы резцов верхней челюсти. Произведена реконструкция коронок 12, 11,21, 22 материалами семейства "Filtek", фирмы "3M-ESPE". Клинический пример 15 Пациентке 25 лет. Произведена реконструкция премоляров, клыков, резцов верхней челюсти материалом "Esthet-X" фирмы "DentSply".
Клинический пример 16 Пациенту 19 лет, диастемы в области верхних и нижних резцов, аномалия прикрепления уздечек губ. Произведены пластика уздечек губ, реконструкция 11, 21, 31, 41 материалами семейства "Filtek", фирмы "3M-ESPE".
Клинический пример 18 Пациенту 32 года, дисколорит, кариозные полости в области зубов верхней челюсти. Реконструкция премоляров, клыков, резцов верхней челюсти материалами семейства "Filtek", фирмы "3M-ESPE".
Клинический пример 19
Клинический пример 20 Пациентке 32 года. Произведена реконструкция тортоаномалии 12 материалом `XRV Herculate" фирмы "Кегг".
Клинический пример 21 Пациентке 28 лет. Тортоаномалия зубов верхней челюсти. Произведена реконструкция верхних резцов материалами семейства "Filtek", фирмы "3M-ESPE".
Клинический пример 22 Пациентке 35 лет. Дисколорит, тортоаномалии фронтальной группы зубов верхней челюсти. Произведена реконструкция верхних клыков, резцов материалом "Esthet-X" фирмы "DentSply".
Клинический пример 23 Пациентке 19 лет. Флюороз. Произведена реконструкция первых премоляров, клыков, резцов верхней челюсти материалом "Charisma" фирмы "Heraeus KULZER".
Клинический пример 24 Пациентке 25 лет. Флюороз. Коронка 25 восстановлена материалом "Charisma" фирмы "Heraeus KULZER".
Клинический пример 25 Пациенту 19 лет. Флюороз. Произведена реставрация фронтального отдела верхней челюсти материалами семейства "Filtek", фирмы "3M-ESPE".
Клинический пример 26 Пациенту 21 год. Флюороз. Коронки верхних клыков, группы резцов восстановлены материалом "Esthet-X" фирмы "DentSply".
Клинический пример 27 Пациенту 28 лет. Коронки верхних центральных резцов восстановлены материалом "XRV Herculate" фирмы "Кетт", с применением парапульпарных штифтов
Клинический пример 28 Пациенту 32 года. Коронка 12 восстановлена материалом "Te-Econom" фирмы "VIVADENT", с применением парапульпарных штифтов.
Клинический пример 29 Пациентке 21 год. Вторичная адентия 11 зуба. Включеный дефект в области 11 восстановлен путем применения материала "GlasSpan" и композиционной массы "Charisma" фирмы "Heraeus KULZER".
Клинический пример 30 Пациенту 32 года. Вторичная адентия 11, 12. Включеный дефект в области 11,12 восстановлен с применением материала "GlasSpan" и материалами семейства "Filtek", фирмы "3M-ESPE".
Клинический пример 31 Пациенту 38 лет. Вторичная адентия 24. Включенный дефект в области 24 зуба восстановлен с применением материала "GlasSpan" и композиционным материалом "Te-Econom" фирмы "Vivadent".
Клинический пример 32 Пациенту 36 лет. Глубокий прикус. Корень 23 зуба, дефект твердых тканей 22, 24. Реконструкция 22, 23, 24, с применением металлической культевои вкладки в области корня 23, с использованием материала "GlasSpan", материалами семейства "Filtek", фирмы "3M-ESPE".
Клинический пример 33 Пациенту 34 года. Вторичная адентия 25 зуба, коронки 24, 26 разрушены на две трети. Реконструкция 24, 25, 26 с использованием материала "GlasSpan", композиционной массы "Charisma", фирмы "Heraeus KULZER".
Клинический пример 34 В фантомную модель нижней челюсти в области 46 зуба введен большой коренной моляр, ранее леченный по поводу осложненного кариеса с применением резорцин-формалинового метода. Коронка 46 разрушена на 2/3, отсутствует язычная стенка. Произведено восстановление коронки 46 зуба материалом "Esthet-X" фирмы "DentSply", с применением усиливающей конструкции системы "GlasSpan".
Клинический пример 35 Пациентке 35 лет. 46 зуб лечен ранее по поводу осложненного кариеса резорцин-формалиновым методом, коронка разрушена на 2/3, отсутствует язычная стенка. Произведено восстановление коронки 46 зуба материалом "Esthet-X" фирмы "DentSply" с применением усиливающей конструкции системы "GlasSpan".
Нами изучен и применен также непрямой метод восстановления твердых тканей зубов. Во многих клинических ситуациях виниры, коронки, вкладки из композиционного материала представляют хорошую альтернативу классическим металлокерамическим конструкциям. Применение данной методики исключает значительное препарирование существующих зубов, есть возможность изменения цвета, формы и поверхности относительно стабильных натуральных зубов. Особенно важно, что при обработке твердых тканей зубов сохраняется жизнеспособность пульпы. Метод заключается в поэтапном изготовлении конструкции на гипсовой модели, при этом достигается более качественный конечный результат, есть возможность визуального контроля над проделанной работой. Лабораторные этапы изготовления способствуют значительному снижению полимеризационной усадки, этапы шлифования и полирования, применяемые вне полости рта, позволяют достигнуть хороших эстетических результатов изготовленной конструкции. Отсутствие слюны, крови, десневой жидкости дает возможность доктору выполнить этапы моделирования в благоприятных, спокойных условиях, временной аспект не ограничен. К недостаткам данного метода относится длительность изготовления конструкции и более высокая стоимость работ. Клинический пример 36 Пациентке 21 год. Обратилась в клинику терапевтической стоматологии с жалобами на разрушенность боковой группы зубов, дефекты пломб, задержку пиши.
При объективном обследовании отмечается открытый прикус. Моляры нижней челюсти (36, 37, 46, 47) лечены ранее по поводу кариеса, коронки зубов разрушены на 1/2, дефекты пломб.
Произведено снятие пломб с 36, 37, 46, 47, препарирование кариозных полостей, медикаментозная обработка.
Изготовлены вкладки из материала "Charisma", фирмы "Heraeus KULZER", с применением краски с персиковым оттенком.
Показаны выпиленные блоки с изготовленными вкладками в области моляров. Демонстрируются модели в прикусе.
Вкладки зафиксированы на композитный цемент двойного отверждения "Rely X" ARC фирмы 3M-ESPE в области 36, 37, 46, 47. Клинический пример 37 Пациентке 24 года. Дефект твердых тканей центральных резцов верхней челюсти восстановлен путем изготовления композиционных коронок из материала `XRV Herculate" фирмы "Кегг".
Клинический пример 38 Пациенту 28 лет. Дефект твердых тканей зубов 24, 25, а также зубного ряда в области отсутствующего 26 замещен путем изготовления конструкции из композиционных материалов семейства "Filtek", фирмы "3M-ESPE" в области 24, 25, 26, 27 зубов.
Клинический пример 39 Пациентке 32 года. Первичная адентия верхних боковых резцов. Произведено депульпирование группы центральных резцов и клыков верхней челюсти. Восстановление целостности зубного ряда фронтального отдела верхней челюсти произведено путем изготовления композиционных коронок из материала "Charisma" фирмы "Heraeus KULZER".
Клинический пример 40 Пациенту 38 лет. Дефект зубного ряда в области 22, 23, 24, 25, 26 восстановлен композиционной конструкцией из материала "Esthet-X" фирмы "DentSply". Клинический пример 42 Компромисс между эстетикой и функцией можно достичь различными путями. Хорошему результату способствовала интересная комбинация прямых и непрямых методов восстановления твердых тканей зубов.
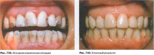
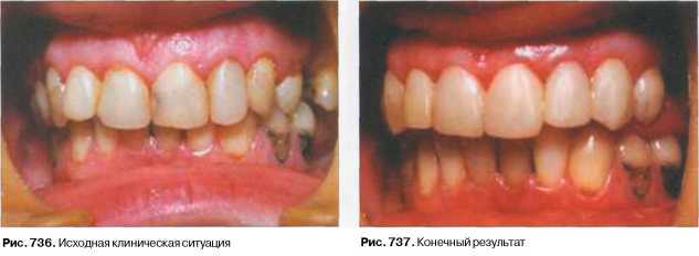
Пациент Н. 27 лет обратился в клинику терапевтической стоматологии с жалобами на эстетический дискомфорт, отсутствие зубов, наличие на зубах отложений. При объективном обследовании отмечается отсутствие 24, 36 зубов, осложненное деформацией зубных рядов, смешанная форма (феномен Попова-Годона). Определяются пломбы на контактных поверхностях фронтальной группы зубов, измененные в цвете, с нарушенным краевым прилеганием и нависающими краями. Дисколорация 23, 25 (из анамнеза заболевания выяснилось, что произведено депульпирование зубов около 7 лет назад). Тортоаномалии 11, 12. Наличие нади поддесневых зубных отложений.
Для прогнозирования результатов лечения были отлиты диагностические модели, которые фиксировались в артикулятор, далее с помощью воска моделировались предполагаемые конструкции. Клинический этап Проведена профессиональная гигиена полости рта. На контактных поверхностях опорных зубов 23, 25 произведено препарирование твердых тканей, сняты оттиски материалом "Spidex". Лабораторный этап
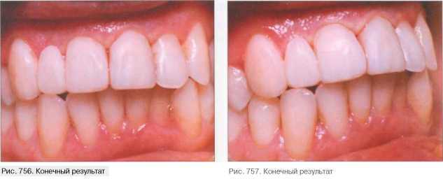
Изготовлены рабочие разборные модели из супергипса. Опорные зубы изолированы лаком. По общепринятой методике производится адаптация шнура "GlasSpan" в слой жидкотекучего композита фирмы "3M-ESPE", нанесенного в полости опорных зубов. Светополимеризация на модели. Осуществляется послойная моделировка отсутствующих тканей, с восстановлением фиссурно-бугорковых контактов, шлифовка, полировка. Этап полимеризации также осуществлен в аппарате "Targis Power" фирмы "IVOCLAR". КЛИНИЧЕСКИЙ ЭТАП Фиксация конструкции в полости рта на композитный цемент двойного отверждения "RelyX" ARC фирмы "3M-ESPE", проверка окклюзионных взаимоотношений при различ-
Таким образом, нами проведен комбинированный метод восстановления зубов, который объединяет в себе многие преимущества прямого и непрямого методов. 1. Восстановление дефектов зубов, зубных рядов осуществляется с учетом индивидуальных особенностей зубочелюстной системы пациента (гармония цвета, формы). 2. Лабораторный этап конструкций изготовления на моделях позволяет достичь высоких результатов: a) Восстановление анатомических форм отсутствующих тканей производится в более благоприятных условиях (отсутствие влаги, крови, слюны). b) Нет ограничений во времени. c) Есть возможность рассмотреть созданную Вами модель с различных сторон, провести коррекцию окклюзионных контактов в артикуляторе. d) Качественное проведение этапов шлифовки, полировки. e) Коллегиальность обсуждения, критический анализ полученных моделей. Желательно, чтобы этим методом владел доктор от начала и до последнего этапа восстановления зубочелюстного аппарата. Чтобы это осуществить, необходимо концентрировать знания и умения как терапевтической так и ортопедической стоматологии, зуботехнического дела. |
КЛИНИЧЕСКОЕ ПРИМЕНЕНИЕ ОСНОВ ХУДОЖЕСТВЕННОГО МОДЕЛИРОВАНИЯ
| КЛИНИЧЕСКОЕ ПРИМЕНЕНИЕ ОСНОВ ХУДОЖЕСТВЕННОГО МОДЕЛИРОВАНИЯ Самое чудесное и удивительное происходит с человеком именно в то мгновенье, когда он начинает чувствовать, осознавать способность к творению, созиданию, к рождению чего-то нового. Стоматолог тоже художник, но чтобы реализовать свой творческий потенциал, нужны, кроме желания, и знания и умения. Профессионалам это чувство знакомо: ты самостоятелен, свободен, а свобода, как известно, порождает творчество! Не зря существует понятие "свободный художник". Свобода в стоматологии также существует, но чтобы воспользоваться этим замечательным состоянием, необходимо много знать и уметь. У профессионала всегда есть возможность выбора. Вы можете себе позволить более смелые решения при выборе конструкции в полости рта. Допустим: прямые реставрации и реконструкции не только во фронтальном, но и в боковых отделах зубочелюстной системы, а также применение комбинированных методов восстановления целостности зубочелюстного аппарата. Вы имеете возможность вести динамическое наблюдение, что приводит к накоплению опыта, передаче знаний, а значит и дальнейшему развитию. Последние достижения в создании новых поколений современных пломбировочных материалов открывают широкие возможности перед врачами-стоматологами в области моделирования формы зубов, формы зубного ряда. Определенные физико-химические свойства композиционных масс, способы их полимеризации позволяют терапевту-стоматологу восстанавливать непосредственно в полости рта форму и цветовую гамму как зубного ряда в целом, так и коронки зуба в частности. При этом исключается цепь промежуточных этапов, выполняемых в зуботехнической лаборатории, проводимых специально подготовленными кадрами. По данным О.А. Петрикаса более 82% молодых людей в возрасте 18-22 лет имеют какие-либо эстетические и функциональные нарушения зубов и зубных рядов. Наиболее часто встречаются аномалии положения зубов (20%), отсутствие зубов (20%), измененные в цвете депульпированные зубы (14%) и т.д. Наряду с ортопедическими методами восстановления целостности зубочелюстной системы существуют альтернативные методы, позволяющие врачу-практику оказывать квалифицированную помощь пациентам на терапевтическом приеме. |


































































