|
Из практики Первую прессованную единицу я изготовил в 1995 году в мастершколе во Фрайбурге (рис. ниже) и был просто очарован этой технологией. Все последующие годы в процессе обучения и практической работы я все больше овладевал технологией, создавая и расширяя собственную концепцию. В данной статье я хотел бы представить небольшой отрывок из моих ежедневных будней в лаборатории - клинические случаи с различными показаниями. |
|
Недавно я имел удовольствие заниматься случаями двух очень взыскательных пациентов. При наличии достаточного времени заниматься такими интересными работами доставляет невероятное удовольствие - заботиться о планировании, восковой моделировке, цифровой фотографии, с помощью которой можно продемонстрировать пациенту ожидаемый эстетический результат.
|
|
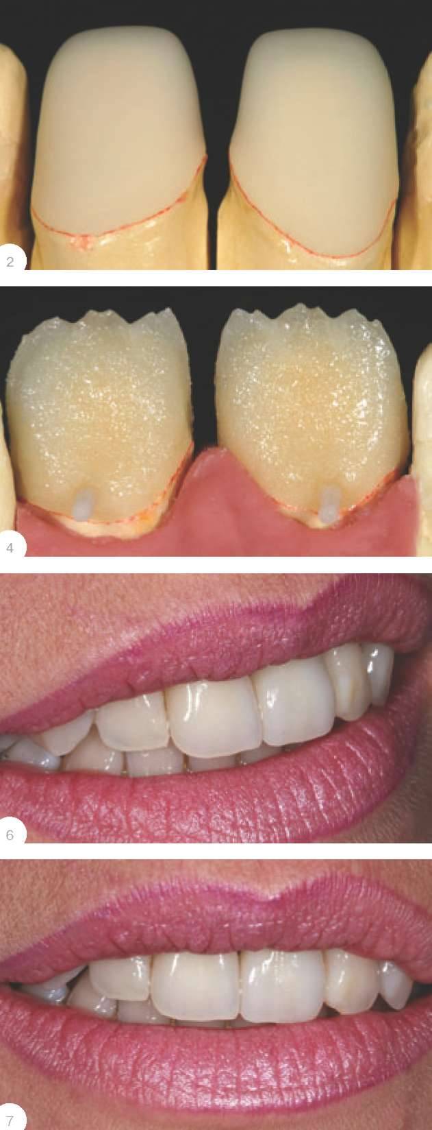
С помощью папки по планированию и слайд-шоу я смог ознакомить мою пациентку с миром эстетики и сегодняшних возможностей зуботехники и убедить ее в необходимости несколько раз приехать в Аален для изготовления нескольких виниров. Второй случай был направлен прежде всего на функциональность, с этой задачей мы также успешно справились, при этом способ создания реставрации был совсем не традиционным. Оба случая я представляю ниже. Нужен хороший воск - уже долгие годы я пользуюсь воском Geko фирмы Bredent - это лучший моделировочный воск из всех, что я знаю. Для того, чтобы работать экономично, мы охотно используем жевательные поверхности Gnathoflex Premium, тоже от Bredent. Не имеет значения, с какими зубами мы работаем - фронтальными или боковыми - принцип всегда один и тот же: используя эту технику, задачу с формой и функцией вы на три четверти уже выполнили. Не хватает только завершающего этапа. Решающее значение имеет предварительная работа врачастоматолога, т.е. препарирование, слепок и регистрация. Предпосылкой к успеху работы является соблюдение требований к препарированию. Как говорит профессор Lothar Prubster: «Препарирование - это ключ к успеху!». |
|
К сожалению, во время своих поездок я вижу иную картину и удивляюсь, насколько спокойно люди относятся к препарированию. А ведь последствия такого отношения вполне предсказуемы! В марте 2006 вместе с врачомстоматологом Dirk Hacker я начал работу над изготовлением цельных и частичных коронок из дисиликата лития. До сегодняшнего дня мы не получили ни одной рекламации, не произошло ни единого скола. Пациенты довольны еще и тем, что по доступным ценам они смогли получить безметалловую коронку естественного цвета. Для того, чтобы проделать небольшой экскурс в мир прессования, я представил в этом отчете раз личные клинические случаи, которые в нашей лаборатории в Аалене являются ежедневной практикой, рутиной. Поскольку, как я уже упоминал, изготовление само по себе является очень простым процессом, я сознательно отказываюсь от детального описания рабочих этапов. Все представленные случаи я прессовал с помощью старой печи Programat EP 500, которая сопровождала меня в моей работе до середины 2008 года. С того момента мы переключились на новое поколение печей Programat EP 3000, а в 2009 - на EP 5000, который я получил в качестве тестового аппарата от господина Robert Grunefelder из Шаана...
Случай 1 Летом 2000 года мы должны были изготовить для одной дамы протез, максимально приближенный по своим свойствам к живым зубам. До этого пациентка лечилась в течение двух лет у известного хирурга по поводу кисты, который создал превосходную основу для нашей последующей работы.
Ее пожелание: протез должен быть незаметным, хорошо интегрироваться в полости рта и выглядеть максимально естественно. Такую задачу можно было решить только с помощью цельной керамики. Основой для реставрации на име ю щемся имплантате стал цельнокерамический абатмент, на который мы смоделировали коронку из материала Empress 2 это было не такой простой задачей (рис. 1.1-1.11). |
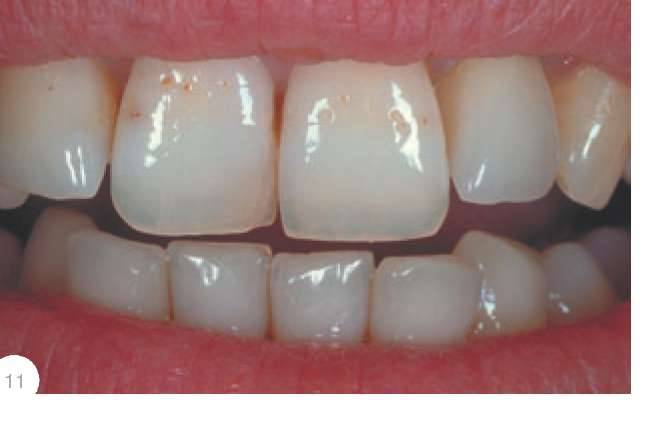
Клинический случай 2 Рис. 1. Исходная ситуация. Рис. 2. Прецизионный колпачок. Рис. 3-4. Обжиг дентина. Рис. 5. Готовая работа. Рис. 6-7. Вид в полости рта. |
| Рис. 6. Проверка формы. Рис. 7. Индивидуальное наслоение. Рис. 8. На контрольной модели. Фото 9. Работа in situ. |
|
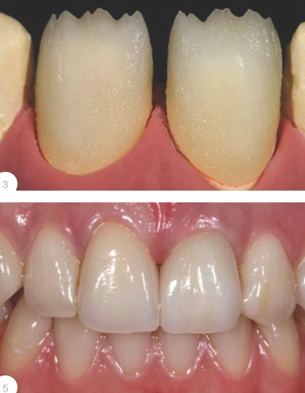
Случай 2 В 2004 году к нам пришла дама, клиническая ситуация которой была непростой. Проблема заключалась в 11 зубе после эндодонтического лечения. C помощью временной конструкции длительного ношения шаг за шагом мы смогли найти нужное решение с помощью Empress 2 (рис. 2.1 -2.7). Случай 3 В 2005 я был своим собственным пациентом и изготовил для себя коронку из материала e.max LT, облицованную керамикой e.max ceram. В очередной раз я убедился в том, насколько важно для долгосрочного успеха правильно выполненное препарирование, которое превосходно выполнил доктор Rene Sindlinger (рис. 3.1 -3.3). Имея такую основу, можно изготовить прецизионный колпачок (рис. 3.4-3.5). Хорошим вспомогательным средством является восковая примерка, помогающая составить впечатление об объеме протеза. В случае хроматических интенсивно окрашенных зубов цветом необходимо управлять «изнутри» реставрации, в противном случае они будут выглядеть слишком светлыми (рис. 4 - 9). Клинический случай 3 Рис. 1-3. Препарирование. Рис. 4. Правильно выполненный циркулярный край колпачка e.max. Рис. 5. Прецизионная посадка - лучшее, что может быть!
Клинический случай 4 Рис. 1. Исходная ситуация. Рис. 2. Предварительное препарирование. Рис. 3. Моделировка воском bredent. Рис. 4. Штифтовка. Рис. 5.
|
|
Случай 4 В 2006 начался наш период жизни под общим названием «GAF-коронки» (рис. 4.1-4.5). Как уже было сказано ранее, концепцию GAF-коронки я разработал вместе с врачом-стоматологом Dirk Hacker. Эта концепция позволила открыть новые возможности изготовления экономичных и эстетичных протетических конструкций в его клинике. Случаи с 3 по 8 были выполнены врачом Dirk Hacker, который наилучшим образом воплощает пожелания пациентов, будучи при этом корректным, прецизионно-точным и ответственным стоматологом. Случай 5 В июле 2007 у нас был клинический случай, при котором полностью отсутствовала эмаль в аппроксимальной области. В подобных случаях чаще всего выполняется классическая вкладка inlay из золота. Однако, пациентка не желала ставить золото. Тогда мы решили сделать вкладку Inlay из материала e.max LT (рис. 5.1 -5.10), которую затем фиксировали на Multisprint. |
![]() |
|
Рис. 5. Первая проверка. Рис. 6. Припасовка. Рис. 7. Припасованная вкладка Inlay. Клинический случай 5 Рис. 1. Исходная ситуация. Рис. 2. Моделировка. Рис. 3-4. Запаковка. Рис. 8. Готовая работа. Рис. 9. Точные контактные пункты. Рис. 10.
Вкладка Inlay из e.max LT in situ. Гб4 Клинический случай 6 Рис. 1. Исходная ситуация. Зуб 26 с апроксимальной стороны не имеет эмали, зуб 27 - с остаточной эмалью. Рис. 2. Готовая работа на модели: зуб 26 - e.max LT, 27 - Empress esthetic. Рис. 3. Ситуация в полости рта - хорошо видна глубокая полость в зубе 26. Рис. 4. e.max LT протравливается в течение 20 секунд. Рис. 5. Правильно протравлено. Рис. 6. Силанизация. Рис. 7. После фиксации. Рис. 8. Работы в полости рта, зуб |
| Случай 6 Этот случай был выполнен в августе 2007 путем сочетания адгезивной и традиционной фиксации. Для зуба 26 была изготовлена вкладка Inlay из материала e.max LT, а на 27 зуб - вкладка Inlay из Empress esthetik, которые и были за фиксированы соответствующим образом (рис. 6.1 - 6.8). Случай 7 Во время лабораторного исследования в феврале 2008 г. мы тестировали метод напрессовывания на металл - см. рис. 7.1-7.8. |
![]() |
| Клинический случай 7 Рис. 1. Каркас. Рис. 2. Восковая моделировка. Рис. 3. Штифтовка. Рис. 4. Запаковка. Рис. 5. Результат прессования. Рис. 6. Вид с базальной стороны. Рис. 7. Прецизионная точность. Рис. 8. Конечный результат. |
| Случай 8 Комплексный случай 2009 года с применением Empress esthetic, который я упоминал во вступлении к статье, кратко представлен ниже. Дама была недовольна своей исходной ситуацией (рис. 8.1 - 8.2) и хотела ее существенного эстетического улучшения. С помощью в трехмерной восковой моделировки Wax-up в 3D я смог сделать свое предложение пациентке и ее леча- |
|
щему врачу (рис. 8.3 -8.4). После нение коронки (рис. 8.5). После детального обсуждения пациентка трехмесячного перерыва - перио- выбрала второй вариант, и вторым да заживания десны - (рис. 8.6) этапом стало хирургическое удли- пациентка снова прошла обследо-
|
Клинический случай 8 Рис. 1. Исходная ситуация. Рис. 2. Вид сбоку. Рис. 3-4. Два варианта воскового моделирования, предложенные пациентке. Рис. 5. Этап хирургического удлинения коронки. Рис. 6. Результат через два месяца. Рис. 7. Препарирование через силиконовый ключ. Рис. 8. Препарированные культи. Рис. 9. Временные конструкции, выполненные по второму варианту. Рис. 10. Запаковка и вид на опоку. Рис. 11. Тестовая печь Programat EP 5000: на этапе процесса прессования. Рис. 12. Результат прессования. Рис. 13. Подготовка к фиксации. Рис. 14-15. Исходная ситуация и результат, полученный с Empress esthetic. Рис. 16-17. Зубы меняют людей! |
![]() |
| Клинический случай 9 Рис. 1-2. Большая разница между высотой имплантата и окклюзией. Рис. 3-4. Формирование абатмента из e.max LT. Рис. 5. Прессованная цельная коронка из e.max HT. Рис. 6. Запаковка при помощи стабилизирующей проволоки. Рис. 7. Результат прессования. |
|
вание, и с ней были тщательно обсуждены дальнейшие этапы лечения. После выполнения воскового моделирования был изготовлен силиконовый ключ - для врачастоматолога как средство контроля препарирования (рис. 8.7), с помощью которого он мог бы безупречно выполнить обширное препарирование, необходимое в нашем случае (рис. 8.8). Первоначально пациентке были установлены временные конструкции (рис. 8.9). Постоянные виниры (рис. 8.10 - 8.12) были профессионально установлены врачом-стоматологом Hacker с использованием коффердама (рис. 8.13). Полученный результат соответствовал ожиданиям пациентки (рис. 8.14 -8.17). Случай 9 В нашей практике встречаются и особенные случаи, как например, с моим другом, которому я смог помочь. В результате длительного отсутствия зуба у него произошла существенная атрофия кости. |
| Передо мной стояла задача преодолеть огромную разницу в высоте (рис. 9.1 - 9.2), и одновременно с этим надо было думать о том, чтобы в процессе прессования в тонком канале не образовывались поры - впоследствии их придется высверливать. Таким образом, я решил изготовить коронку из двух частей с открытым каналом, благодаря чему паковочная масса могла вытекать. |
|
Этому предшествовал Wax-up, а нижняя часть разделялась на титановый абатмент (рис. 9.3 - 9.4) на высоте между цементом и границей эмали (как у живого зуба) рис. 9.5. Но что делать дальше? Мне заказывали коронку из e.max, поэтому после примерки и одобрения врача я протравил плавиковой кислотой обе части коронки и склеил с помощью Vario Link. Затем эту коронку из двух частей я зафиксировал как коронку из e.max. Раз за разом нам необходимо было использовать тонкий канал, и здесь нам часто служила добрую службу стабилизирующая проволока GAF (рис. 9.5 - 9.6). Этим неординарным случаем я хотел бы закончить свой отчет. Он должен помочь тем, кто интересуется прессованием керамики, составить впечатление о наших рабочих буднях в лаборатории. Давайте подождем, какие возможности еще преподнесет нам будущее. Вывод В настоящее время прессование дает отличную возможность работать в лаборатории эффективно и экономично. Доход остается в лаборатории, поэтому техникам старшего поколения, таким как я, удается работать эффективно и без большого стресса, обеспечивая зуботехническими работами пациентов с самыми разнообразными показаниями. Формирование формы на воске - это классная вещь, а запаковку может сделать любой зубной техник. С помощью нового поколения печей с простой концепцией Programat EP 5000 сам процесс прессования никакой сложности не представляет. Метод прессования и все настройки отображаются на дисплее с активной матрицей. Очень важным является финал: адаптация цервикального края. Для меня давно уже стало очевидным: прессование - это отличная технология, которая доставляет удовольствие и приносит большую пользу лаборатории, а также врачам-стоматологам и пациентам. Технология прессования находится не в конце своего пути, а только в самом начале! Благодарность Свою особенную благодарность я хотел бы выразить врачу-стоматологу Dirk Hacker из Aalen за его содействие в воплощении новых идей. Кроме того, большое спасибо моему партнеру, зубному технику Nico Klemen, за помощь в воплощении идей, а также зубному технику Karl Weber за конструктивное сотрудничество и наши ночные дискуссии. И последний (по месту, а не по значимости) - Robert Grunenfelder из IvoclarVivadent, благодаря которому я смог протестировать новый Programat EP 5000. Фотографии для статьи «Прессование - надежно и точно» предоставлены с любезного разрешения фирмы Ivoclar Vivadent. L A B |
| Заготовки для прессования Empress esthetik Ivoclar Vivadent | |||||||||||||||
| |||||||||||||||
| Вспомогательные средства Gnathoflex Premium Bredent |


Мой путь к успеху
Изготавливать прессованные коронки очень просто.













